首页 关于我们 服务范围 新闻中心 联系我们
QQ联系
电话联系
手机联系
儿童不良口腔习惯与口面部发育2023-05-02 21:59:52

近期霍思燕在社交平台上晒出儿子“嗯哼”的照片,引起网友对于“腺样体面容”的讨论。在呼吸专科门诊也经常会遇到家长带着孩子就诊,目的就是让医生看一眼孩子是不是存在“腺样体面容”。写到这里,耳边突然飘来一句歌词“只是因为在人群中多看了你一眼,再也没能忘掉你容颜”,确实“颜值”是社会交往中是不可或缺的重要部分,也成为家长们关注的焦点问题。

婴儿期后,持续的口腔不良习惯会明显影响面部发育、口腔功能、咬合关系以及面部美观。所谓的“腺样体面容”狭义的就医学的角度是指由于腺样体肥大造成的口面部发育异常,广义的对家长而言就是类似于“腺样体面容”的口面部发育异常的总称。我们就其中主要的二个问题包括“非营养性吮吸”和“长期张口呼吸”。

#1

非营养性吮吸

什么是非营养性吮吸?

非营养性吮吸行为主要是指吮吸安抚奶嘴、拇指或其他手指,这些行为在早期发育时期是正常的。不同人群中有70%-90%的婴儿可出现这种自我安抚行为。随着年龄的增长,吮吸手指或安抚奶嘴的频率有所下降。与吸吮安抚奶嘴相比,吮指行为更可能会持续到4-5岁,这时可能会带来一定的问题。如果持续到恒牙萌出期,非营养性吮吸可能会导致错牙合畸形。

对牙齿的影响

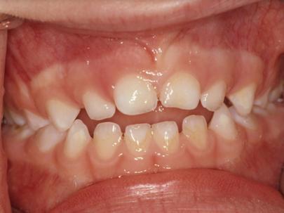
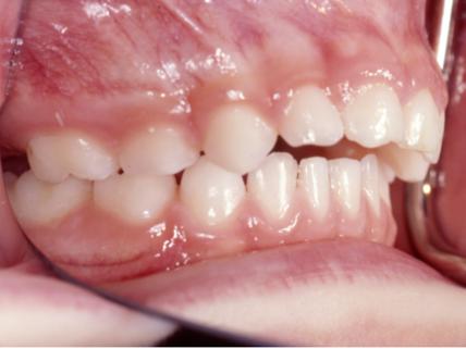
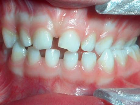
非营养性吮吸习惯可能与乳牙列和混合牙列的错牙合畸形患病率增加以及上前恒牙外伤的发生风险增加相关。可能会出现以下图片中的问题,包括前牙开牙合;后牙反牙合;深覆盖和上颌相对下颌过于前突的Ⅱ类错牙合。

干预措施

通常推荐在约2岁时进行干预,以解决儿童的不良吮吸习惯,从而最大程度地降低其对牙齿的影响。家长们可以尝试采取以下措施,同时需要咨询儿童口腔及发育行为儿科专家。

如果照护者的关注可能强化了吮吸拇指的习惯,则照料者应停止评论孩子的这一习惯;

处理孩子生活中可能的压力和焦虑来源;

尝试使用包含避免吮指的正性强化措施(如奖励贴纸)及负性强化措施(在手指上涂味道恶心的东西)。

#2

长期张口呼吸

造成长期张口呼吸的常见病因有哪些?

造成慢性口呼吸的原因包括慢性鼻塞/充血(如过敏性鼻炎)、腺样体肥大或解剖结构异常(如腭裂)等引起,也可能是一种获得性习惯。鼻炎和扁桃体腺样体肥大是主要原因,但是并不是唯一的原因,还有一些原因可能与习惯相关,甚至是未知的。

对口面部的影响

长期口呼吸对口面部的主要影响包括:长而窄的面型、上颌弓缩窄、恒磨牙过度萌出以及下颌后下旋转。目前尚不清楚至少多长时间的口呼吸会引起相应的临床症状。长期口呼吸儿童牙颌面会发生以下改变:唇肌张力减退、唇外翻、上唇上翘、牙龈增生、前牙前突(龅牙)、上牙弓缩窄、腭盖高拱、下颌后缩、下颌角角度增大长脸、舌骨后下移位、舌根后坠变长等。扁桃体严重肥大阻塞口咽腔的患儿,会不自觉的出现下颌前伸、抬头和脖子前伸。

干预措施

若儿童存在容易促发口呼吸的呼吸或解剖学问题,则宜尽早积极治疗,可以在呼吸科或耳鼻喉科就诊咨询。

#3

总结

儿童口腔不良习惯会影响口面部的发育,造成的口面部的畸形存在一定的共性。对于主要是由于非营养性吮吸造成的儿童,建议尽早儿童口腔专科和发育行为儿科就诊,早期及时进行干预。对于存在长期张口呼吸的儿童,务必尽早进行鼻炎,腺样体和扁桃体方面的检查,并进行相关干预,以期尽早解除阻塞,恢复正常鼻呼吸模式,避免影响口面部的发育。





凡谋有道(上海)管理咨询有限公司

公司地址:上海市闵行区明泉·财富广场南楼20层
联系电话:16628505856
关注我们: